Para cuando la enfermedad de Pompe lo afecte, el daño ya ha comenzado
Diagnosticar y controlar la enfermedad de Pompe a tiempo ayudará a sus pacientes a adelantarse a su enfermedad
Diagnóstico
Temas cubiertos en esta sección:
Diagnóstico diferencial
Distinguir la enfermedad de Pompe de otros trastornos es fundamental para minimizar los retrasos en el diagnóstico y optimizar los resultados de los pacientes
Los pacientes con LOPD pueden experimentar una demora de entre 6 a 13 años antes de recibir un diagnóstico definitivo, y los pacientes con enfermedad de Pompe de inicio infantil (IOPD) experimentan una demora media de 1,4 meses desde el momento de inicio de los síntomas hasta el diagnóstico. El deterioro clínico durante estas brechas diagnósticas puede ser significativo debido al avance del daño irreversible y potencialmente mortal.
El diagnóstico y el tratamiento precoces son clave para controlar los síntomas y mejorar los resultados en pacientes con enfermedad de Pompe. Sospeche la enfermedad de Pompe en bebés, niños y adultos cuando los signos y síntomas sugieran una degeneración muscular progresiva.
Sospeche la enfermedad de Pompe cuando observe alguno de los siguientes signos o síntomas:
.2023-02-27-11-36-55.png)
- Debilidad en las piernas
- Dificultad para subir escaleras
- Dificultad para levantarse de una silla
- Caminar balanceando las caderas o rengueando
- Caídas frecuentes y problemas para correr o hacer deporte
.2023-02-27-11-37-53.png)
- Disnea al hacer esfuerzo, p. ej. subir escaleras
- Dificultad para respirar, especialmente en decúbito dorsal
- Enfermedad pulmonar restrictiva y tos inefectiva
- Dificultad respiratoria nocturna, manifestada por apnea del sueño, dolores de cabeza matutinos o niveles elevados de CO2
- Hipoventilación durante el sueño
- Fatiga excesiva durante el día
- Intolerancia al ejercicio
Otras enfermedades y trastornos pueden manifestarse con signos y síntomas similares a la enfermedad de Pompe; incluya la enfermedad de Pompe en su diagnóstico diferencial junto con aquellas con cuadros clínicos similares
Superposición de síntomas entre LOPD y otros trastornos más comunes
Superposición de síntomas entre IOPD y otros trastornos más comunes
Una vez que surge la sospecha clínica, se puede evaluar la enfermedad de Pompe midiendo la actividad de la enzima α-glucosidasa ácida (GAA)
Considere la posibilidad de realizar pruebas para detectar la enfermedad de Pompe cuando vea
- Debilidad progresiva de los músculos proximales con o sin insuficiencia respiratoria o hiperCKemia persistente inexplicable (niveles leves a moderadamente elevados, ~300-2000 U/L)
- o Los niveles normales de CK no descartan la enfermedad de Pompe
- Miopatía de cintura y extremidades no especifica
- Un miembro de la familia que padece la enfermedad de Pompe
¿Podría la enfermedad de Pompe pasar inadvertida en su consultorio?
Obtenga más información sobre los signos y síntomas que afectan a los pacientes que padecen la enfermedad de Pompe.
Función de las imágenes por resonancia magnética (RM) en el diagnóstico
Los resultados de estudios en pacientes con LOPD han demostrado una correlación entre la debilidad muscular y los hallazgos anormales de las RM y la tomografía computarizada
Las técnicas de imagen avanzadas como la RM pueden identificar la atrofia y la infiltración grasa de músculos específicos, así como patrones de afectación muscular, aunque no son exclusivas de la enfermedad de Pompe y no establecen un diagnóstico definitivo.
En un estudio de historia natural, los pacientes con LOPD tenían deficiencias significativas en la expansión de los pulmones durante la inspiración en comparación con los voluntarios sanos (P = 0,001)
Las reducciones en el volumen inspiratorio máximo tienen un impacto directo y negativo en la función respiratoria al limitar la capacidad vital forzada (CVF)
En el mismo estudio, los pacientes con LOPD mostraron una disminución anual significativa de la función respiratoria:
- Disminución anual del 3,2 % en la presión inspiratoria máxima (P = 0,018)
- Disminución anual del 3,8 % en la presión espiratoria máxima (P <0,01)
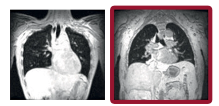
Pulmones sanos Enfermedad de Pompe

Volumen inspiratorio máximo

Volumen inspiratorio máximo
Las imágenes coronales de resonancia magnética evaluaron los movimientos máximos de final de inspiración y final de espiración mientras los sujetos contenían la respiración durante 12 segundos. El volumen pulmonar (representado en negro) en cada sujeto se calculó fuera de línea y se normalizó por la proporción de la longitud del pulmón en la inspiración dividida por la longitud en la espiración.
¿Podría la enfermedad de Pompe pasar inadvertida en su consultorio?
Obtenga más información sobre los signos y síntomas que afectan a los pacientes que padecen la enfermedad de Pompe.
Función de la electromiografía (EMG) en el diagnóstico
Los estudios demuestran que más del 70 % de los pacientes con LOPD tienen un patrón de EMG miopático
Resultado de la EMG que sugiere LOPD
- Irritabilidad notablemente aumentada de la membrana muscular
- o Potenciales de fibrilación
- o Ondas agudas positivas
- o Descargas repetitivas complejas
- Descargas miotónicas (típicas o atípicas)
- Acción breve de la unidad motora (potenciales de acción de la unidad motora)
Los resultados de la EMG en los músculos más proximales, incluidos los músculos paraespinales, son más propensos a mostrar anomalías.
La EMG debe realizarse en los músculos proximales y distales de las extremidades superiores e inferiores, así como en los músculos paraespinales torácicos si se sospecha LOPD
Diagnóstico definitivo
Secuencia diagnóstica
Aunque las secuencias clínicas para el diagnóstico de la enfermedad de Pompe son variables, el proceso generalmente implica:

Evaluación clínica de los síntomas
presentes por un médico clínico

Derivación a un especialista para una
investigación más profunda, incluidas
pruebas clínicas o de laboratorio adicionales

Evaluación clínica de los síntomas
presentes por un médico clínico
Las pruebas de actividad de la enzima GAA pueden identificar a los pacientes que tienen la enfermedad de Pompe
Prueba de gota de sangre seca (DBS, por sus siglas en inglés)
La enfermedad de Pompe se confirma por una ausencia completa o una reducción marcada de la actividad de GAA.
El uso de muestras de sangre, incluida la DBS, es ahora una práctica estándar. La toma de muestras de sangre para las pruebas de detección de la enfermedad de Pompe es mínimamente invasiva, precisa y, por lo general, puede proporcionar resultados en unos pocos días. Si se encuentra una actividad reducida de la enzima GAA, el diagnóstico debe confirmarse en una segunda muestra (ej leucocitos) o mediante un análisis de mutación para confirmar la presencia de 2 alelos del gen GAA mutado.
Históricamente, el informe de la enzima GAA se realizó usando fibroblastos cutáneos cultivados. Sin embargo, la recolección de muestras es relativamente invasiva y los resultados tardan aproximadamente 6 semanas en obtenerse. Este largo tiempo de respuesta no es recomendable, especialmente en bebés con enfermedad rápidamente progresiva.
Aunque las biopsias musculares son una opción para las pruebas de actividad de GAA, generalmente no son las preferidas. Esto se debe a que son invasivas y tienen un alto riesgo de falsos positivos debido al mal manejo de las muestras. Las biopsias musculares pueden ser útiles para la evaluación histológica, pero es importante tener en cuenta que el contenido de glucógeno puede variar ampliamente entre los músculos, por lo que las biopsias aparentemente normales no descartan la enfermedad de Pompe. Por lo tanto, un diagnóstico de enfermedad de Pompe siempre debe confirmarse mediante la ausencia o reducción de la actividad de GAA o mediante análisis genético.

En pacientes con IOPD, la actividad de la enzima GAA puede ser completamente nula; si queda algo de actividad, suele ser <1 % de lo normal

En pacientes con LOPD, la actividad de la enzima GAA suele estar entre el 1 % y el 40 % de lo normal
Para los pacientes diagnosticados con la enfermedad de Pompe, el control precoz y activo es esencial
La atención interdisciplinaria continua puede ayudar a mejorar los resultados en pacientes con enfermedad de Pompe.
Pruebas de detección a familiares
La enfermedad de Pompe es una afección hereditaria que puede transmitirse de padres a hijos
Si bien la enfermedad de Pompe se considera rara en la población general, los parientes cercanos de una persona con la enfermedad de Pompe tienen muchas más probabilidades de padecer la enfermedad o ser portadores. Las pruebas de detección a familiares de pacientes con enfermedad de Pompe puede ayudar en el diagnóstico temprano y en un control más eficaz de la enfermedad.
Control de la enfermedad
Temas cubiertos en esta sección:
Pautas de control de la enfermedad de Pompe
El diagnóstico precoz y el control continuo son fundamentales para mejorar los resultados terapéuticos en pacientes con enfermedad de Pompe
Aunque la base subyacente de la enfermedad de Pompe es la degeneración muscular progresiva, la enfermedad puede afectar muchos órganos y sistemas diferentes. Para una atención integral del paciente, el mejor control es el realizado mediante un equipo interdisciplinario de profesionales de la salud.
Equipos multidisciplinarios de médicos especialistas en los Estados Unidos han elaborado pautas de control de la enfermedad de Pompe, que han sido aprobadas por el Colegio Americano de Genética Médica y Genómica (ACMG, por sus siglas en inglés) y la Asociación Americana de Medicina Neuromuscular y Electrodiagnóstica (AANEM, por sus siglas en inglés). El Consorcio Europeo para la enfermedad de Pompe (EPOC, por sus siglas en inglés) también ha desarrollado pautas para el control basadas en medidas de resultado para pacientes adultos con enfermedad de Pompe.
Pautas de los EE. UU. aprobadas por ACMG y AANEM
Pautas de los EE. UU. aprobadas por ACMG y AANEM
Seguimiento continuo
- Dada la naturaleza progresiva e impredecible de la enfermedad de Pompe, el seguimiento regular del paciente es esencial.
- Solo mediante un control activo y continuo se pueden identificar rápidamente los cambios en el estado clínico de un paciente y ajustar su tratamiento o plan de control.
Frecuencia de seguimiento
- Todos los bebés con enfermedad de Pompe rápidamente progresiva deben ser monitoreados de cerca y con frecuencia.
- En pacientes mayores cuya enfermedad progresa más lentamente, una pauta general es realizar un seguimiento cada 6 a 12 meses.
- El equipo de atención médica de cada paciente debe determinar la naturaleza exacta y la frecuencia de las evaluaciones de acuerdo con las necesidades clínicas individuales.
Pautas del EPOC
Vea las pautas del EPOC en PubMed.gov
El tratamiento específico debe iniciarse en pacientes con diagnóstico confirmado de Enfermedad de Pompe y la presencia de los siguientes criterios:
1) Diagnóstico de EP según lo establecido por las pruebas de actividad enzimática en leucocitos, fibroblastos o músculo-esquelético y/o demostración de mutaciones patogénicas en ambos alelos del gen GAA. Una prueba de detección de gota de sangre seca positiva siempre debe ir seguida de una de estas pruebas para confirmar el diagnóstico.
2) Presencia de síntomas de debilidad musculoesquelética o afectación de los músculos respiratorio observados en las evaluaciones clínicas.
3) Compromiso del paciente y/o su familia a un tratamiento regular (cada dos semanas) y un seguimiento regular (al menos una vez al año) para evaluar su respuesta al tratamiento.
4) Presencia de una función residual del músculo esquelético y respiratorio, que a criterio médico resulte funcional y clínicamente relevante para que el paciente la mantenga o mejore.
Considere suspender el tratamiento por cualquiera de las siguientes razones:
1) El paciente sufre reacciones graves asociadas a la infusión que no pueden controlarse adecuadamente.
2) El paciente desea suspender la terapia de remplazo enzimático (TRE).
3) El paciente no cumple con las infusiones regulares o las evaluaciones clínicas anuales.
4) El paciente padece otra enfermedad potencialmente mortal que se encuentra en una etapa avanzada (terminal), donde el tratamiento para mantener la vida es inapropiado.
Diagnostique la enfermedad de Pompe de forma precoz para ayudar a optimizar el control de los síntomas
En los pacientes con enfermedad de Pompe, la atención interdisciplinaria precoz y continua es clave para controlar los síntomas y mejorar los resultados.
Áreas de evaluación
Áreas clave para el seguimiento de la enfermedad de Pompe
- Sin tratamiento, la mayoría muere por insuficiencia cardiorrespiratoria al año de edad
- Radiografías de tórax y ecocardiograma (ECG) para evaluar la miocardiopatía
- Holter de 24 horas para detección de arritmias
- Monitoreo del peso y del crecimiento
- Evaluación física
- Evaluaciones de calidad de vida (bienestar mental y emocional)
- La insuficiencia respiratoria es la causa más común de muerte entre los pacientes con enfermedad de Pompe
- Pruebas de rutina de la función pulmonar (p. ej., capacidad vital pulmonar y fuerza diafragmática)
- Historial de sueño detallado y seguimiento continuo de trastornos respiratorios del sueño
- Evaluaciones según criterio médico ej radiografía, electromiografía y puntos de referencia de hitos motores.
- Densitometria. Evaluación metabolismo óseo
Revisar el programa de evaluación recomendado por el Registro de Pompe
El registro de Pompe ha desarrollado un programa recomendado de evaluaciones, basado en los aportes de especialistas internacionales con experiencia en la atención de pacientes con enfermedad de Pompe.
Control de los síntomas
La atención interdisciplinaria precoz y a largo plazo es fundamental para el manejo exitoso de la enfermedad de Pompe y cuando sea posible debe ser dirigida por un médico con experiencia en la enfermedad de Pompe.
- Terapia física
- Terapia ocupacional
- Terapia del habla
- Dispositivos adaptativos y de asistencia
- Intervención o cirugía ortopédica
- Uso de oxígeno suplementario (restringido a determinadas situaciones)
- Eliminación de secreciones de las vías respiratorias mediante tos asistida y otras técnicas
- Ventilación mecánica para ayudar a los músculos respiratorios debilitados, con traqueotomía en los casos más graves
- Modificaciones de la alimentación para reducir los riesgos de aspiración
- Vacunas actualizadas, incluidas las vacunas contra el neumococo y la influenza
- Evaluación cardíaca frecuente y control de síntomas
- Tratamientos farmacológicos, según el estadio de la miocardiopatía
- La indicación de cirugías programadas o de urgencia deben ser sopesadas cuidadosamente contra el riesgo de la anestesia en niños con IOPD
- Asesoramiento individual y familiar
- Acceso a educación sobre la enfermedad
- Grupos de defensa y organizaciones de pacientes
- Grupos de ayuda y redes para conectar con otros pacientes
- Salud mental y servicios de trabajo social
- Asesoramiento individual y familiar
- Acceso a educación sobre la enfermedad
- Grupos de defensa y organizaciones de pacientes
- Grupos de ayuda y redes para conectar con otros pacientes
- Salud mental y servicios de trabajo social
Objetivos terapéuticos clave y medidas de resultado críticas para el manejo eficaz de la enfermedad de Pompe
- Prolongar la supervivencia, incluida la supervivencia sin respirador.
- Mejorar la función del músculo cardíaco y esquelético.
- Estabilizar o mejorar la función motora y pulmonar.
- Disminuir la acumulación de glucógeno lisosomal.
- Mantener o mejorar la calidad de vida.
- Alcanzar hitos del desarrollo y promover los logros motores y el crecimiento en pacientes pediátricos.
- Retrasar la necesidad de asistencia para caminar y ventilación en pacientes adultos.
Escuche directamente a los pacientes que están enfrentando los desafíos de la enfermedad de Pompe
Obtenga una perspectiva de primera mano sobre las formas en que la enfermedad de Pompe afecta la vida de los pacientes.
Vivir con la enfermedad de Pompe
Temas cubiertos en esta sección:
El cuidador a cargo del paciente
Los Pacientes necesitan ayuda para sus actividades diarias, vida doméstica, desplazamiento o movilidad; solo aproximadamente un 10% de ellos no necesitan ningún apoyo. La media de tiempo dedicado al cuidado de estos pacientes es de aproximadamente 5 horas diarias. Sobre quien les proporciona el soporte en su mayoría son los padres siguiendo por hermanos y abuelos. Asumir este compromiso implica reducción de la jornada laboral o perdida de oportunidades laborales o de formación.
Impacto de la enfermedad de Pompe de inicio tardío (LOPD) en la calidad de vida
- Debilidad muscular progresiva que conduce a problemas de movilidad
- Dificultades con las tareas cotidianas, como caminar, pararse o subir escaleras
- Necesidad de dispositivos de asistencia como un bastón, un andador o un respirador
- Pérdida de independencia
- Puede afectar el bienestar físico, social, emocional y financiero de los pacientes
Impacto de la IOPD en la calidad de vida
- El control de síntomas puede requerir proveedores de atención médica en una multitud de especialidades, como enfermedades metabólicas, inmunología, cardiología, neurología, nutrición, pediatría del desarrollo, neumología, urología o anestesiología
- La coordinación de la atención puede ser un desafío: las evaluaciones y el control continuos pueden causar dificultades emocionales, financieras y logísticas para las familias y los cuidadores
Existen recursos y apoyo disponibles para pacientes con enfermedad de Pompe, sus cuidadores y profesionales de la salud
Proveer recursos específicos para el paciente puede ayudar a alivianar la carga de los cuidadores.
Perspectiva del paciente
Sean y Cheryl, hermanos, comparten su experiencia con la enfermedad de Pompe. Luego de ser diagnosticado, Sean incitó a su hermana a realizarse pruebas y ella también fue diagnosticada con la enfermedad de Pompe. Juntos, comparten su perspectiva sobre el apoyo mutuo y la importancia de las pruebas de detección a familiares.
Playing this video will share cookies with YouTube.
Shaylee no es la chica promedio de 17 años; después de que le diagnosticaran la enfermedad de Pompe, rápidamente decidió que su trastorno no definiría lo que podía hacer. Shaylee es muy activa en su comunidad y continúa participando en muchos de sus pasatiempos favoritos a pesar de tener un trastorno neuromuscular genético poco común.
Conozca otra historia de vida de un paciente con enfermedad de Pompe
Historia de vida de un paciente Pompe
Relato de la vida un paciente Pompe LOPD antes y después del diagnóstico.
Ayude a aumentar nuestro conocimiento sobre la enfermedad de Pompe
Sea parte del Registro de la enfermedad de Pompe
Contenido para descargar
Webinars Enfermedad de Pompe - Educación médica continua
La importancia de la sospecha temprana
Mecanismo de accion de Myozyme
Historia de vida de un paciente Pompe
Animación de Movimiento: Difultad para subir escaleras
Animación de Movimiento: difultad al incorporarse de la posición de sentado
Animación de Movimiento: dificultad para alcanzar objetos en altura
Animación de Movimiento: Marcha vasculante
Correcta toma de muestra
Taller de fuerza muscular, evaluación y daño en miopatías inflamatorias - Jornada 1
Taller de fuerza muscular, evaluación y daño en miopatías inflamatorias - Jornada 2
Cuando Las Enfermedades Metabólicas Se Parecen A Las Reumatológicas
Enfermedades Neuromusculares. Acortando distancias. Puntos de interés común entre especialidades
Enfermedad de Pompe en Pediatría - diálogo entre expertos
Enfermedad de Pompe de inicio tardío en Pediatría
Manifestaciones respiratorias en Enfermedad de Pompe de inicio tardío
Registro de la enfermedad de Pompe
Expandir el conocimiento acerca de la enfermedad de Pompe
El registro de la enfermedad de Pompe, un recurso global patrocinado por Sanofi Genzyme, es una base de datos observacional en curso que rastrea la historia natural y los resultados de los pacientes para mejorar la comprensión de la enfermedad de Pompe. Todos los pacientes con enfermedad de Pompe son elegibles para la inscripción independientemente del estado del tratamiento, y se anima a participar a todos los médicos tratantes.
Los objetivos principales del registro de la enfermedad de Pompe son
- Mejorar la comprensión de la variabilidad clínica y de la variabilidad en la progresión de la enfermedad de Pompe.
- Ayudar a identificar las manifestaciones clave de la enfermedad y comprender su historia natural.
- Ayudar a la comunidad médica con el desarrollo de recomendaciones para el seguimiento del paciente y el informe de resultados, con el fin de optimizar la atención.
- Caracterizar y describir a la población de la enfermedad de Pompe en su conjunto.
- Evaluar la efectividad y seguridad a largo plazo de las opciones de tratamiento disponibles y las medidas de apoyo, incluida la terapia de reemplazo enzimático.
Se solicita a los médicos participantes que envíen los datos de los pacientes participantes de forma regular. Se recomienda que los datos se envíen al Registro de la enfermedad de Pompe de acuerdo con el programa de evaluación recomendado que se encuentra en el protocolo del registro. El personal del Registro de la enfermedad de Pompe está disponible, de ser solicitado, para responder cualquier pregunta sobre la recopilación de datos.
Los informes del Registro de la enfermedad de Pompe disponibles para los médicos participantes proporcionan importantes resúmenes clínicos de pacientes individuales, así como resúmenes analíticos de la población general del registro. Visite www.pomperegistry.com para obtener más información.
Los informes del Registro de la enfermedad de Pompe disponibles para los médicos participantes proporcionan importantes resúmenes clínicos de pacientes individuales, así como resúmenes analíticos de la población general del registro. Visite www.pomperegistry.com para obtener más información.
La confidencialidad y la privacidad del paciente son de suma importancia para el Registro de la enfermedad de Pompe. El registro cumple con las regulaciones de privacidad nacionales aplicables y otras leyes estatales y locales relacionadas con la información médica. Toda la información del paciente y del médico se considera confidencial.
- Se menciona a los pacientes solo por el número de identificación del registro
- Los pacientes deben autorizar la divulgación de sus datos clínicos al registro
- No se realizan comparaciones de datos de un sitio a otro
Si desea comunicarse con Genzyme Medical Information para realizar preguntas acerca de la enfermedad de Pompe o para hablar con un representante de ventas, complete los campos obligatorios a continuación (marcados con un asterisco) y haga clic en “Enviar.” La información que proporcione se guardará de acuerdo con nuestra política de privacidad.
Le solicitamos que no identifique al paciente ni proporcione ningún otro identificador de paciente cuando envíe preguntas a través de este sitio web. Puede comunicarse con Genzyme Medical Information telefónicamente, al 1-800-745-4447 opción 2 o al 1-617-768-9000 opción 2, para plantear preguntas o informar eventos adversos que requieran antecedentes o descripción detallada del contenido médico que pueda identificar al paciente