Dermatitis atópica
Obtenga una visión global y aprenda todo sobre el cambiante mundo de la enfermedad Dermatitis Atópica
Carga de la enfermedad
Cerca de 3 de cada 5 pacientes adultos con dermatitis atópica moderada a severa tienen un control inadecuado a pesar de recibir tratamiento*¹
El desafío de intentar controlar la dermatitis atópica a largo plazo puede generar una alta carga en los pacientes y frustración en los médicos²⁻⁶
Identificación de los pacientes con dermatitis atópica con control inadecuado
Los cuatro indicadores del ‘fracaso del tratamiento’ y del control inadecuado:⁵
Mejora clínica inadecuada
No lograr un control estable a largo plazo de la enfermedad
Presentar eventos adversos o mala tolerabilidad con el tratamiento actual
No aliviar la carga de la enfermedad:⁵,⁶
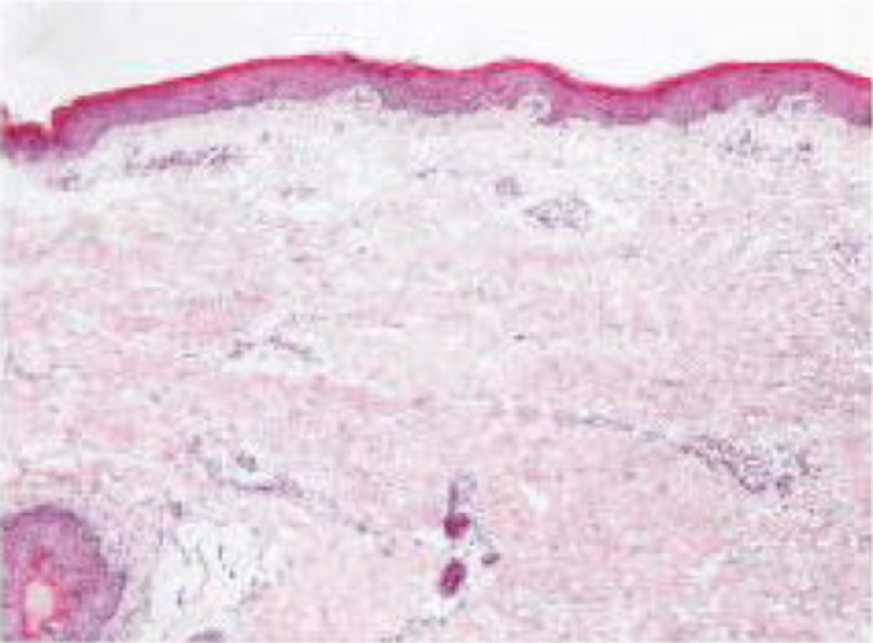
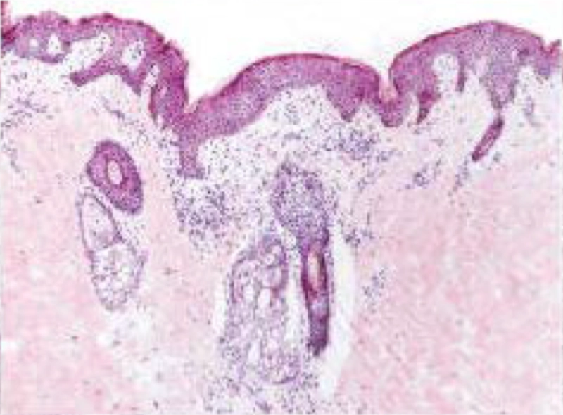
La piel sin lesiones no es una piel normal
En la dermatitis atópica, también se observa inflamación subclínica en la piel aparentemente sin lesiones
PIEL NORMAL
PIEL “SIN LESIONES”
Referencias:
- Wei W et al. J Dermatol 2018; 45: 150–157.
- Zuberbier T el at. J Allergy Clin Immunol 2006; 118: 226–32.
- International Alliance of Dermatology Patient Organizations. Atopic Dermatitis: A Collective Global Voice for Improving Care. February 2018.
- Hajar T et al. An Bras Dermatol 2018; 93: 104–107.
- Boguniewicz M et al. J Allergy Clin Immunol Pract 2017; 5: 1519–1531.
- Ibler K & Jemec GBE Dermatol Rep 2011; 3: e5.
- Gittler J et al. J Allergy Clin Immunol 2012; 130: 1344–1354.
- Guttman-Yassky E et al. J Allergy Clin Immunol 2011; 127: 1420–32.
- Leung DYM et al. J Clin Invest 2004; 113: 651–657.
- Suárez-Fariñas M et al. J Allergy Clin Immunol 2011; 127: 954–964.Tiempo
Vías inflamatorias
|
VIAS INFLAMATORIAS |
TIPO 1 | TIPO 2 | TIPO 3 |
|---|---|---|---|
| Células Inmunitarias primarias1,2 | ![]() |
![]() |
![]() |
| Citoquinas clave1,3 | ![]() |
![]() |
![]() |
| Citoquinas clave1,3 | Infección viral Infección bacteriana intracelular Células cancerígenas |
Alérgenos Irritantes Parásitos Veneno |
Bacterias extracelulares Hongos |
| Ejemplo de enfermedades asociadas4,5 | Enfermedades autoinmunitarias: Psoriasis Artritis psoriásica |
Enfermedades tipo 2: Dermatitis atópica Asma |
Enfermedades autoinmunitarias: Psoriasis Artritis psoriásica |
En la dermatitis atópica crónica, la inflamación subclínica siempre está presente, incluso en la piel sin lesiones o de aspecto normal

Un sistema inmune desequilibrado, sumado a anormalidades epidérmicas, estimulan la respuesta inflamatoria tipo 2, incluyendo una mayor actividad de la IL-4 e IL-134,5
La actividad de la IL-4 e IL-13 estimula y perpetúa la inflamación tipo 2, y así promueve el ciclo de prurito-rascado de la dermatitis atópica
Referencias:
- Kaiko GE et al. Immunol 2008; 123: 326–38.
- Eyerich K & Eyerich S J Eur Acad 2017; 32: 692–703.
- Raphael I et al. C IL-12ytokine 2015; 74: 5–17.IL-2
- Nakayama T et al. Annu Rev Immunol 2017; 35: 53–84.
- Coates L Infección virC et al. Semin Arthritis Rheum 2016; 46: 291–304.al







